Sublime
An inspiration engine for ideas
Viz.ai is really quite a sleek product. It focuses on doing one thing very specifically, detecting Large Vessel Occlusions (LVO) which - for simplicity sake - is a type of clot that cuts blood flow to your brain, resulting in a serious stroke.
Nikhil Krishnan • Out-Of-Pocket: Making healthcare easy to understand.
I built a multimodal AI medical image diagnosis agent using Gemini 2.0
This AI Agent can:
• Analyze medical scans
• Detect abnormalities
• Search the web
• Generate patient-friendly reports
100% Opensource Code with step-by-step... See more
Shubham Saboox.comDr. Stephen O'Keefe
A childhood friend, in his early 40s, passed away in his sleep due to complications from an enlarged heart. He had no prior symptoms or awareness of the condition.
Any of these simple measurements could have potentially alerted him to the condition and saved his life:
✅ Echocardiogram
✅... See more
Bryan Johnsonx.comHere’s a video I made breaking down this case of a young man who presented to the ER with chest pain and shortness of breath for 1 week
#FOAMed https://t.co/cQrc9uZ2T0
Sam Ghali, M.D.x.comSee video entitled Curt Allen Jr.-Traumatic Brain Injury Recovery with Hyperbaric Oxygen Therapy on You Tube: https://www.youtube.com/ watch?v=erXi23AC3k8&t=141s 2 Harch MD, Paul. (2010). The Oxygen Revolution: Hyperbaric Oxygen Therapy. New York: Hatherleigh Press.
Lisa Tamati • Relentless: How a mother and daughter defied the odds
Scans from “Medicine’s New Vision” by Howard Sochurek c., 1987
-
Howard Sochurek was a prominent American photojournalist of the mid to late 20th Century having worked with LIFE & National Geographic during his career. By 1970 Sochurek left LIFE, secured a computer from NASA that had been used to produce images from... See more
instagram.com
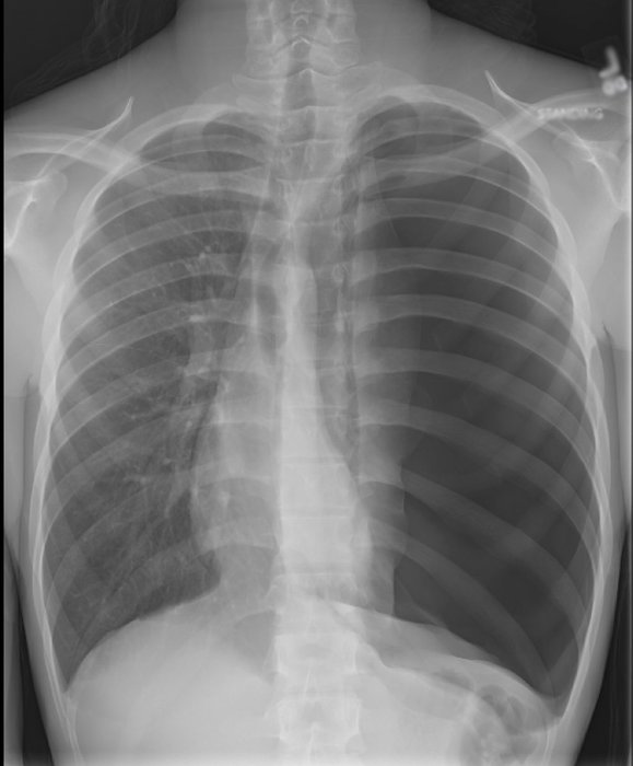
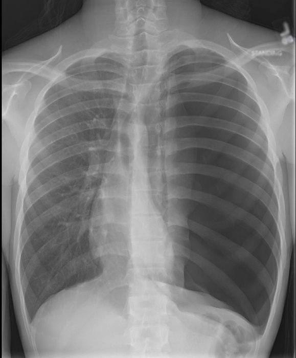
Here’s the Chest X-Ray of a young man who presented to the ER completely stable with totally normal vital signs
What’s the diagnosis? https://t.co/ajIVb8DH44
Stephen was a wretched patient; sometimes he looked to M’Alister as an omniscient being who would certainly produce the one true physic; sometimes the ship resounded to the cry of ‘Charlatan’, and drugs would be seen hurtling through the scuttle. The chaplain suffered more than the rest: most of the officers haunted other parts of the ship when the
... See more