Sublime
An inspiration engine for ideas
3 MEZCLAS DE ESPECIAS QUE TIENES QUE PROBAR 🌿PARTE 2🌿
Dale un toque especial a tu comida y experimenta los diferentes sabores del mundo🌍
¿con cuál de estas 3 combinaciones te quedas?
Si te gusta la idea déjame tu❣️ y guárdatela para que no se te... See more
bynadiasafainstagram.com
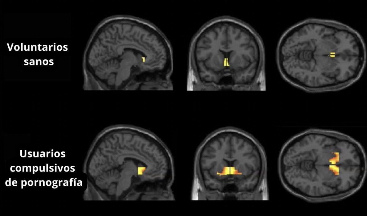
Tengo 27 años.
Desperdicié 5 años de mi vida en P*rnhub todas las noches.
Después de más de 500 días sin p**n y más de 100 horas estudiando sus efectos en nuestro cerebro
Aquí están mis 5 descubrimientos más impactantes que cambiarán tu vida:... See more
✨ Um chamado à alma.
Um retorno à sabedoria do coração.
Em 2026, caminharemos, pelo quarto ano consecutivo, os caminhos sagrados de Maria Madalena — que vão muito além de um espaço físico.
O sul da França é o cenário onde trilhamos um percurso profundo dentro de nós, em escuta,... See more
instagram.com
La experiencia del autorretrato con sangre es una poderosa práctica de #autoconocimiento y un #ritual de amor hacia une misme.
Es una forma de traer a la consciencia las impresiones, los sentimientos y notar pequeños detalles de nuestra propia #imagen a los que seguidamente no prestamos... See more
instagram.com🤩CÓMO SUBÍ 80 K EN 6 MESES🤩👇🏻¡Te cuento!👇🏻
🔴Cuando llevaba unos cinco meses con la cuenta, vi que crecía a un ritmo muy lento. En mi caso, tenía un margen de 6 meses para que mi emprendimiento funcionara (si hubiera tenido ahorros, mi margen hubiera sido mayor).
🟢Por lo que decidí cambiar... See more
community_gualinstagram.comexperiencia real
Verónica D'Alessandro • 3 cards
experiences
Gabriela Leal • 2 cards
Experiences
Madalena
@madalena








