Sublime
An inspiration engine for ideas
Invasive brain computer interfaces are the most important technology of our time.
It’s not just @Neuralink - there’s an entire ecosystem of companies, labs and researchers that you need to know about.
@cyb3rblaze_ and I made a map of the key players 👇
Grace Gerwex.comThe Resonant Computing Manifesto
resonantcomputing.org
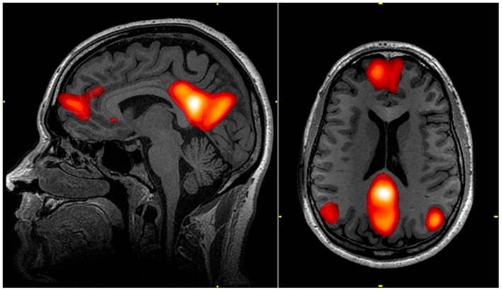
MIT just solved humanity's biggest weakness:
In 2025 the average attention span lasts no longer than 12 seconds.
But fortunately scientists discovered a 3-step method that fixes this.
Here's the protocol to rewire your brain: https://t.co/roeKQZSd8r


Can we invent new brain-computer interface modalities?
@raffi_hotter and I got 9 friends together and built a lab at home to test two totally new imaging methods: acoustoelectric imaging & functional ultrasound through the skull
🧵 story that involves nV measurements, pretty physics, and a... See more
Master of Science in Art, Culture & Technology, Massachusetts Institute of Technology
e-flux.come-flux.comThe Departments of Electrical Engineering and Computer Science (EECS) and Brain and Cognitive Sciences (BCS) at MIT offer a joint curriculum leading to a Bachelor of Science in Computation and Cognition that focuses on computational and engineering approaches to brain science, cognition, and machine intelligence. Students in the program are full... See more
MIT • Course 6-9: Computation and Cognition | Brain and Cognitive Sciences
A connectome (/kəˈnɛktoʊm/) is a comprehensive map of neural connections in the brain, and may be thought of as its "wiring diagram".[2] These maps are available in varying levels of detail. A functional connectome shows connections between various brain regions, but not individual neurons. These are available for large animals, including mice and... See more
Connectome - Wikipedia
🧠DARPA Neurotechnology: The Deep Dive
In the last 24 years, DARPA has initiated at least 40 programs related to neurotechnology.
@MWCvitkovic and I built a resource of these programs, their managers, and papers that resulted.
https://t.co/BR58ufZpgg
Niko McCarty.x.com