Sublime
An inspiration engine for ideas
Are Blockchains Decentralized? Unintended Centralities in Distributed Ledgers
The report investigates the true decentralization of blockchains, highlighting various forms of centralization, vulnerabilities in consensus protocols, and the implications for security and immutability in networks like Bitcoin and Ethereum.
blog.trailofbits.comI’m sharing the following details that may be useful to you:
(1) Plasmid Full Name:
pTRE3GBi_EF1A_Tet3G_IRES_Puro-VHH hFBXW11-mCherry
or pTRE-BI-hGRAD
> Bacterial Resistance: Ampicillin.
> Addgene Link: https://www.addgene.org/207837/
(2) Reference Paper:
https://rupress.org/jcb/article/223/2/e202304030/276463/hGRAD-A-
... See moreAnalyses the cultural phenomenon of hyper-optimization, discussing its impact on creativity, the overabundance of cultural products, and the need for counterforces to resist its effects.
LinkOral History of Shang-Yi Chiang
An oral history interview with Shang-Yi Chiang covers his early life in China, education in electrical engineering, career at Texas Instruments and Hewlett-Packard, and pivotal role at TSMC in semiconductor advancements.
archive.computerhistory.orgcavity.
Liu, Cixin • The Three-Body Problem



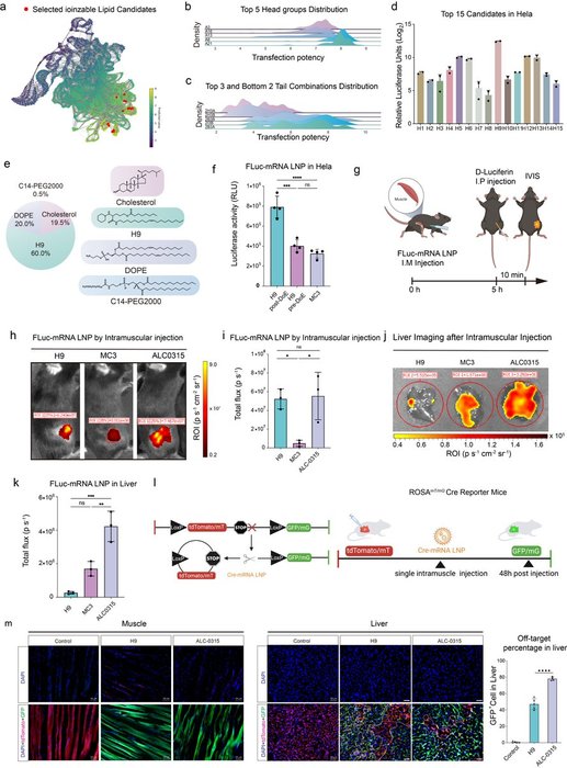
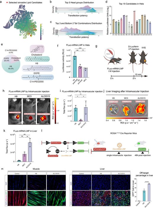
mRNA medicine has changed the world. Wonder how #AI can help with mRNA therapy development? Thrilled to share our latest collaboration with @BowenLi_lab! Our paper, "AGILE Platform: A Deep Learning-Powered Approach to Accelerate LNP Development for mRNA Delivery," showcases how #AI and combinatorial chemistry can be a game-changer in mRNA therapy... See more
Your Brain on ChatGPT: Accumulation of Cognitive Debt when Using an AI Assistant for Essay Writing Task
Analyzes cognitive impacts of using large language models versus search engines or no tools during essay writing, measuring brain activity, engagement, memory effects, essay quality, ownership, and learning outcomes through EEG and NLP methods.
Link